Featured in Dr. Rhonda Patrick's weekly newsletter

Browse archive

Elevating your ketone levels through exercise or a ketogenic diet can significantly boost brain health and cognitive function.

 

A recent study found that just 3 weeks on a ketogenic diet increased BDNF levels by 47% and cerebral blood flow by 22%—and this was in healthy adults with normal cognitive function!

 

These findings have powerful implications for neurological conditions. 

Reduced blood flow and impaired glucose metabolism are key features of cognitive decline, dementia, Alzheimer's, and various psychiatric disorders. Ketones provide an essential "alternative fuel" for the brain under these challenging conditions, effectively rescuing cognitive function and alleviating deficits. Ketones also play a vital role as signaling molecules, influencing gene expression through epigenetic modifications that can benefit longevity and cardiometabolic health.

 

Furthermore, higher BDNF levels due to ketosis suggest enhanced neurogenesis and neuroplasticity—key elements for a healthier, more adaptable brain.

 

Whether you achieve ketosis through exercise, diet, or supplements, even intermittent mild ketosis can deliver wide-ranging benefits for your brain health, on par with those of vigorous exercise (which remains the best way, in my opinion, to boost BDNF).

Watch the Full Video on the Brain Benefits of Vigorous Exercise

Here are a few select time stamps from a Premium Member Q&A episode where I talk about how to increase BDNF through exercise:

 

  • (7:32) How does exercise benefit the brain?
  • (8:49) Which type of exercise boosts brain-derived neurotrophic factor (BDNF) best?
  • (9:04) How to increase BDNF levels by more than 30%
  • (9:15) Does exercise intensity affect BDNF production?
  • (9:38) Why aerobic exercise acts like a drug for your brain
­

You just missed this in your inbox

Every week, Dr. Rhonda Patrick and the FoundMyFitness team distill the latest research into clear, actionable insights on health, longevity, and performance, delivered free to your inbox.

Verifying email address...
Invalid email address. Please use a different email.

Ketones and the Brain

During fasting or periods of low carbohydrate intake, the brain uniquely depends on ketones to meet its energy needs, obtaining up to 70% of its energy from these molecules. Unlike fatty acids, which cannot cross the blood-brain barrier, ketones serve as an essential alternative fuel, particularly when glucose availability diminishes.

 

This energy-providing capacity positions ketones as critical factors in maintaining optimal cognitive function, especially in conditions marked by impaired glucose metabolism, such as Alzheimer's disease and other neurodegenerative disorders. Improved ketone availability can alleviate these metabolic deficits, boost cerebral blood flow, and enhance the production of brain-derived neurotrophic factor (BDNF), a protein essential for brain plasticity, growth, and protection against cognitive decline.

 

Exercise-induced ketone production modestly contributes to elevated BDNF and improved brain blood flow, highlighting one potential pathway linking physical activity with cognitive health. However, ketogenic diets or targeted supplementation may yield more substantial increases in ketone availability and consequently provide more significant cognitive and neurological benefits compared to exercise alone. How can this be leveraged to enhance brain health and stave off cognitive decline?

 

Something nearly all neurological conditions have in common—and something that "cognitively normal" people experience from time to time due to stress and other factors—is reduced brain blood flow. It's linked to poor cognitive performance in the short term and can lead to long-term brain damage, raising the risk for cognitive decline and other forms of dementia.

 

Could switching to a ketogenic diet give your brain a boost, even if it's short term? According to a fascinating recent study, the answer might be yes.

 

The Brain-Boosting Effects of a Keto Diet

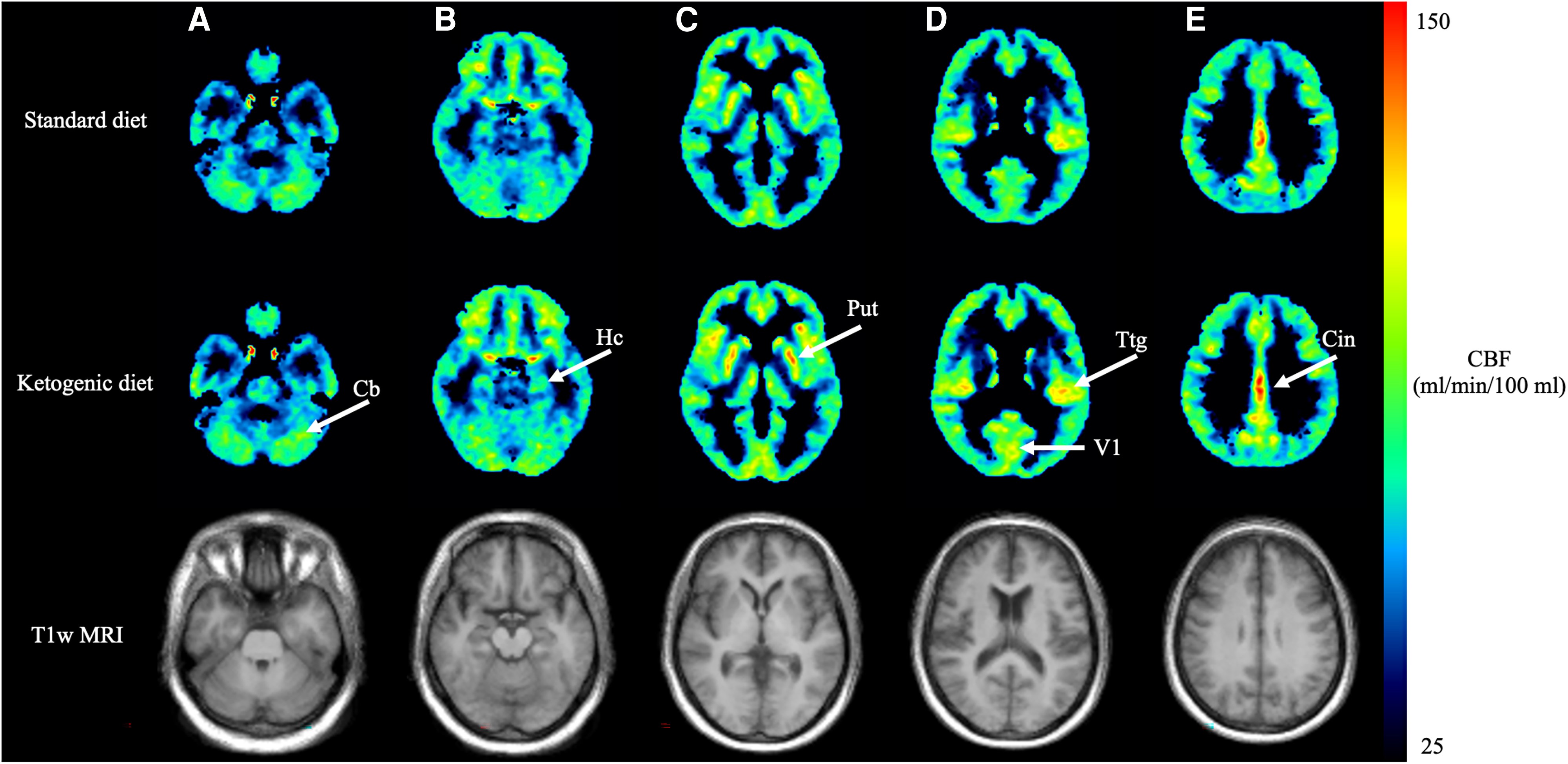
Researchers examined 11 healthy adults (none of whom had neurological conditions or other health problems), exploring how their brains responded to two distinct diets: a low-carb, high-fat ketogenic diet (5% carbohydrates, 20% protein, and 75% fat) versus a more traditional diet rich in carbohydrates (45–60% carbs, 10–20% protein, and 25–40% fat). Each participant followed these diets for three weeks, undergoing detailed brain imaging scans and blood tests before and after each phase.

 

Following the ketogenic diet, participants experienced an impressive 47% rise in levels of brain-derived neurotrophic factor (BDNF)—a crucial protein that supports brain health, neuron growth, and cognitive function. Even more remarkable was the observed 22% increase in cerebral blood flow.

 

The most notable improvements occurred in three critical brain areas: the cerebellum—essential for coordination, fine-tuning movements, and motor learning (think of smoothly riding a bike) and also influential in attention and language; the hippocampus—central to memory formation, spatial navigation (remembering where you parked your car or left your keys), and the conversion of short-term memories into lasting ones; and the cingulate gyrus—vital for emotional regulation, decision-making, error detection, and empathy, shaping the integration of emotions and cognition.

 

Interestingly, the boost in cerebral blood flow was tightly correlated with higher blood ketones, suggesting ketones directly enhance blood delivery to the brain.

Findings from this, albeit small, study add to a growing literature supporting the benefits of ketones for whole-body health. Indeed, non-brain benefits of ketones are well-documented.

­
­
­

Ketones Influence Health From Genes to Disease

Ketones aren't just alternative energy sources—they actively shape health through diverse roles including:

 

  • Gene regulation: Ketones, particularly beta-hydroxybutyrate (BHB), act as powerful signaling molecules. BHB interacts with specialized receptors called G-Protein Coupled Receptors or GPCRs, suppressing the breakdown of fats and exerting notable anti-inflammatory effects. Activation of these receptors has been linked to reduced inflammation in conditions like stroke and diabetic retinopathy.
  • Gene expression: Ketones modulate gene expression through multiple mechanisms. One prominent pathway involves the inhibition of histone deacetylase (HDAC) enzymes, which regulate DNA packaging and gene expression. Even more physiologically relevant is the direct modification of proteins via a post-translational modification known as β-hydroxybutyrylation, which alters interactions between DNA and histones, influencing gene expression profiles significantly, and affects genes linked to resilience against cellular stress, metabolism, and brain health.
  • Metabolic health improvements: Ketone metabolism is intricately linked to insulin resistance and diabetes, especially in skeletal muscle tissues. Increasing circulating ketone levels through dietary approaches or supplementation independently improves glucose control. This beneficial effect has been observed in both animal models and human clinical studies, demonstrating that ketones can directly influence blood glucose regulation through signaling mechanisms rather than just serving as fuel substrates.
  • Heart health benefits: The failing heart naturally increases its reliance on ketones, initially as an adaptive mechanism to compensate for impaired fatty acid metabolism. Experimental studies consistently demonstrate that increasing ketone availability significantly improves heart function, enhances cardiac efficiency, and reduces detrimental cardiac remodeling. Human trials reinforce these findings, with therapies such as ketone supplementation showing clear improvements in cardiac function parameters like stroke volume, cardiac output, and overall heart efficiency. However, the precise mechanisms remain debated—whether ketones act primarily as efficient fuels or through their signaling properties.

The multifaceted roles of ketones in physiology

Final thoughts

I’m not a strong advocate for any one dietary approach—low-carb, high-carb, and moderate-carb diets can all support one’s individual health goals when done properly.
 

But there’s something to say about the powerful effects of leveraging ketosis for health, physical performance, and even cognitive benefits. 
 

That can be achieved via a ketogenic diet, but it doesn’t have to be—therapeutic benefits can occur at relatively low levels (0.5–1.0 mM) of ketosis. At least according to Dom D’Agostino (whom I interviewed on episode #74 of the podcast). The participants in the study we just discussed averaged a blood ketone level of 0.6 mM and still saw brain benefits. You can achieve this level of ketosis through:
 

  • Mild carbohydrate restriction or a low-glycemic index diet: Consuming 50 grams or less of carbohydrates per day (depending on your activity level) will bump blood BHB levels to 0.5–1.0 mM in 2–3 days.
  • Fasting: A 16–18-hour fast can elevate blood ketones to around 0.6 mM, with progressively higher levels the longer the fast continues.
  • Fasted exercise: 45–60 minutes of HIIT or zone 2 training can increase blood ketone levels 0.2–0.4 mM above baseline, often crossing above the 0.5 mM threshold of ketosis.
  • Fasted exercise + carb restriction: Exercise while on a carbohydrate-restricted diet can elevate blood ketones to 0.8–1.2 mM in about 24 hours.
  • Exogenous ketones: Ketone esters and ketone salts—supplemental forms of ketones—can raise ketone levels to 1–4 mM in 30–45 minutes.
     

For some time, I experimented with fasting and consuming a low-saturated fat ketogenic diet in an attempt to recapitulate some of the effects of a full-on ketogenic diet. I did this by eating poly- and monounsaturated fats from salmon, nuts, seeds, avocados, and olives/olive oil. My experience? Better cognitive function and steadier energy levels, especially during long podcast recordings!
 

Ultimately, with sustainability being my main goal, I transitioned away from a more strict low-carb approach, while still realizing the therapeutic benefits of keto and its applications for many diseases and even high performance. It's not something I advocate for everyone, but it might be worth experimenting with if you're in need of a dietary change—especially one that could have long-term brain benefits.

I've gone in depth on the ketogenic diet for longevity and cognitive health in several past Premium Member Q&A episodes:

 

  • Q&A #3 (19:20) Does the ketogenic diet improve longevity?
  • Q&A #3 (20:10) Essential biomarkers to monitor on a ketogenic diet
  • Q&A #3 (22:41) Is carb intake inversely correlated to longevity?
  • Q&A #25 (1:24:02) Does eating keto before dinner enhance overnight fasting benefits?
  • Q&A #26 (31:19) Can keto mimic the cognitive effects of fasting?
  • Q&A #26 (33:35) What I ate while following a ketogenic diet
  • Q&A #41 (1:36:39) Ketone monitor recommendations

Warm regards—Rhonda and the FMF team

­

Get the next issue in your inbox.

Free weekly health, longevity, and performance insights from Dr. Rhonda Patrick.

STAY IN THE LOOP

Get Dr. Rhonda Patrick's free weekly newsletter.

Every week, Dr. Rhonda Patrick and the FoundMyFitness team distill the latest research into clear, actionable insights on health, longevity, and performance, delivered free to your inbox.

Verifying email address...
Invalid email address. Please use a different email.